الخدمات
نقدم خدمات متكاملة في تركيب وزراعة الأسنان وجراحة الوجه والفكين بتقنيات حديثة وتشخيص دقيق لضمان علاج آمن ومريح.

جراحة الوجة والفكين
نقدم خدمات جراحة الوجه والفكين بدقة عالية وبكفاءة متميزة باستخدام أحدث التقنيات الطبية، لعلاج الإصابات والتشوهات وتحسين الشكل والوظيفة بأمان واحترافية.

زراعة الأسنان
نوفر حلول متكاملة وحديثة لزراعة الأسنان باستخدام أحدث التقنيات لتعويض الأسنان المفقودة واستعادة ابتسامتك الطبيعية بثبات وراحة تدوم طويلًا.

علاج كسور العين
نقدم رعاية متخصصة لعلاج كسور محجر العين بدقة عالية، واستعادة الشكل والوظيفة الطبيعية باستخدام أحدث الأساليب والتقنيات الجراحية الآمنة.

التقويم الجراحي للفكين
نقدم خدمات تقويم الفكين الجراحي المتقدمة بدقة عالية واحترافية لتحسين محاذاة الفكين وتصحيح مشاكل العضة، مع استعادة الوظيفة الطبيعية للوجه والفكين باستخدام أحدث التقنيات الجراحية الآمنة والفعّالة.

علاج الاكياس الدهنية وأورام الفكين
نوفر رعاية متخصصة لعلاج الأكياس الدهنية وأورام الفكين بدقة عالية، مع الحفاظ على الشكل والوظيفة الطبيعية للفم والوجه باستخدام أحدث الأساليب الجراحية الآمنة والفعالة.

علاج انزلاق غضروف الفك
نقدم حلول متخصصة وشاملة لعلاج انزلاق غضروف الفك بدقة عالية وبكفاءة متميزة، لاستعادة حركة الفك الطبيعية وتقليل الألم، باستخدام أحدث التقنيات الطبية الجراحية والغير جراحية بأمان وفعالية.

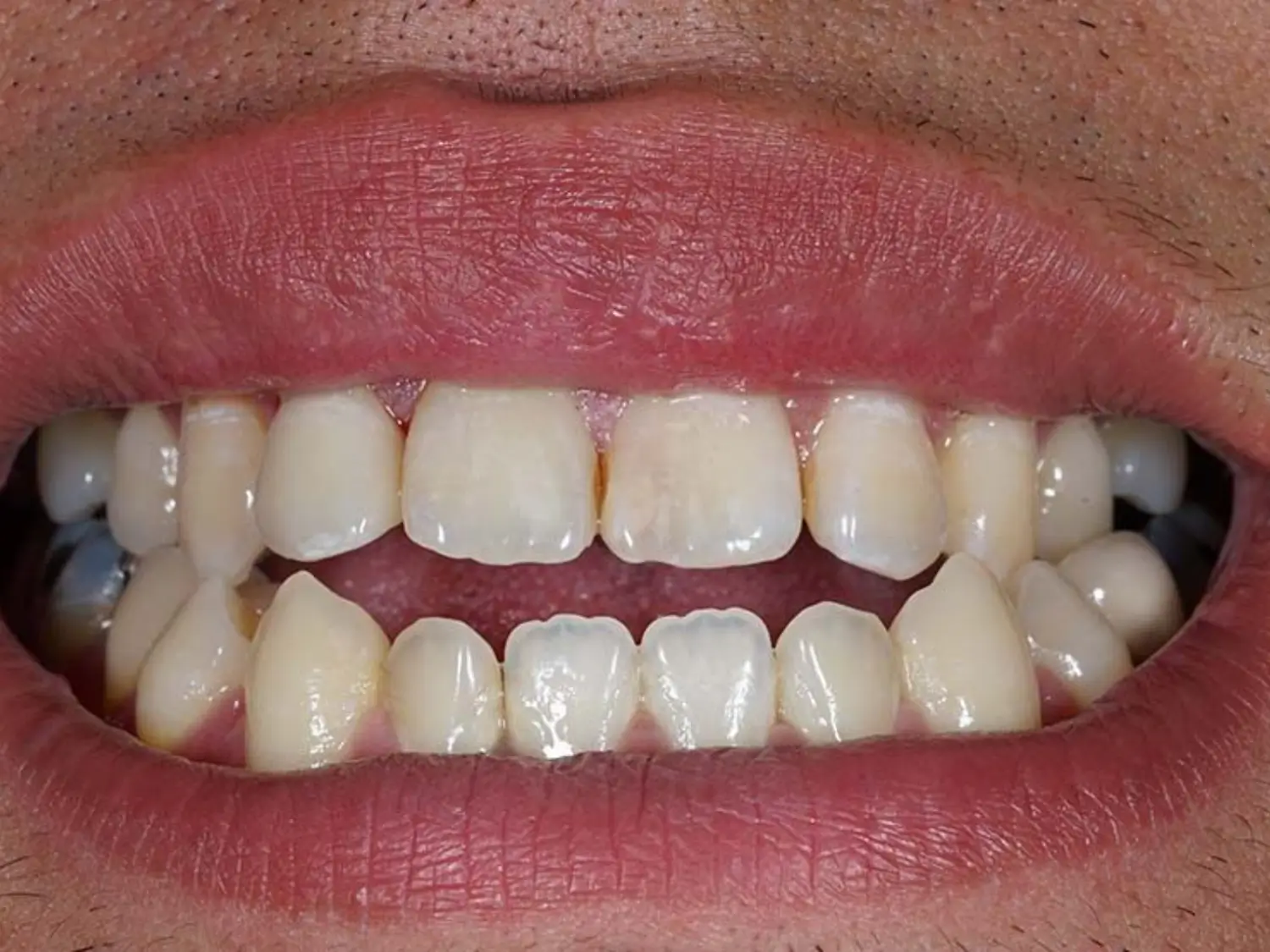
علاج العضة المفتوحة
نوفر علاج متخصص ودقيق للعضة المفتوحة لتحسين محاذاة الأسنان والفكين، واستعادة الوظيفة الطبيعية للفم وتحقيق ابتسامة متناسقة، باستخدام أحدث التقنيات الطبية المضمونة والموثوقة.

خلع ضرس العقل
نوفر خدمة متخصصة وآمنة لخلع ضرس العقل بدقة واحترافية، مع تقليل الألم والتورم وتسريع التعافي واستعادة راحة الفم بشكل كامل، باستخدام أحدث التقنيات الطبية والإجراءات الاحترافية.

تجميل الشفة الأرنبية
نوفر حلولًا وعلاجات متقدمة ومتخصصة لتجميل الشفة الأرنبية بدقة عالية واحترافية، لتحسين الشكل والوظيفة واستعادة الابتسامة الطبيعية بأمان وثقة، باستخدام أحدث التقنيات الجراحية المتطورة والفعّالة.

استئصال الغدد اللعابية
نوفر خدمة متخصصة ودقيقة لاستئصال الغدد اللعابية بأمان واحترافية، للحفاظ على الوظيفة الطبيعية للفم والوجه وتقليل المضاعفات، باستخدام أحدث التقنيات الجراحية المتطورة والفعّالة.

علاج بروز الفك
نوفر علاجات متقدمة ودقيقة لعلاج بروز الفك، لتحسين محاذاة الفكين والابتسامة واستعادة التوازن الوظيفي والشكل الطبيعي للوجه، باستخدام أحدث التقنيات الطبية والجراحية المتطورة والفعّالة.

علاج كسور الوجه والفكين
نوفر علاجات متخصصة ودقيقة لعلاج كسور الوجه والفكين، لاستعادة الشكل الطبيعي والوظيفة الكاملة للفم والوجه، مع تقليل الألم والمضاعفات، باستخدام أحدث التقنيات الجراحية المتطورة والفعّالة.
احصل على ابتسامة صحية ووجه متناسق مع د. كريم شليوة
ابدأ رحلتك نحو رعاية طبية متكاملة باستخدام أحدث التقنيات وخبرة متخصصة تهتم بسلامتك وراحتك في كل خطوة.